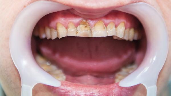
牙龈上出现凸起软包且一碰就破可能与牙龈脓肿、黏液腺囊肿、根尖周炎、创伤性血疱或口腔疱疹等原因有关,需结合具体症状及检查明确诊断。

牙龈脓肿通常由牙周炎或食物嵌塞导致细菌感染引起,表现为牙龈局部红肿、触痛,脓肿破溃后可有脓液渗出。治疗需清除牙菌斑和牙结石,遵医嘱使用甲硝唑片、阿莫西林胶囊等抗生素,配合复方氯己定含漱液消炎。日常需加强口腔清洁,使用软毛牙刷避免刺激患处。
口腔小唾液腺导管阻塞可能形成黏液腺囊肿,好发于下唇或牙龈,呈半透明软包,破溃后流出黏稠液体。可能与咬伤或局部刺激有关。较小囊肿可观察,反复发作需手术切除。避免反复咬唇或咀嚼硬物,术后使用康复新液促进创面愈合。
龋齿未及时治疗可能引发根尖周炎,脓液穿透骨膜形成牙龈瘘管,表现为牙龈凸起包块,按压时从牙根处溢出脓血。需进行根管治疗清除感染源,配合头孢克洛分散片、奥硝唑片控制炎症。治疗期间避免用患侧咀嚼,定期复查X线观察愈合情况。

进食过硬食物或刷牙不当可能导致牙龈黏膜下血管破裂,形成紫红色血疱,破溃后遗留溃疡面。通常无须特殊处理,保持口腔卫生即可。可含漱生理盐水预防感染,避免进食过热或辛辣食物刺激创面。
单纯疱疹病毒感染可能引起牙龈簇集性水疱,疱壁薄易破溃形成糜烂面,常伴发热和淋巴结肿大。需遵医嘱使用阿昔洛韦乳膏局部涂抹,口服泛昔洛韦片抗病毒。保持充足休息,多饮水补充维生素C增强免疫力。

建议避免自行挑破软包,每日用温盐水漱口3-4次,选择含氟牙膏轻柔刷牙。若包块反复出现、伴随剧烈疼痛或发热,应及时就诊口腔科排查病因。饮食宜清淡,避免过烫、酸性或坚硬食物刺激黏膜,适当补充维生素B族和锌元素促进黏膜修复。