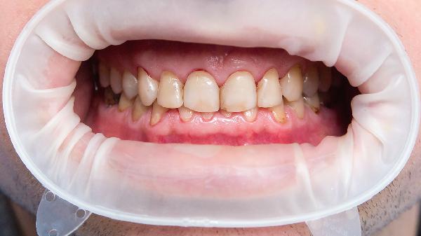
牙龈肿半年不消退可能与牙周炎、根尖周炎、牙龈增生、糖尿病、药物因素等原因有关,可通过口腔清洁、药物治疗、手术治疗等方式缓解。牙龈肿胀长期存在需警惕慢性炎症或全身性疾病,建议尽早就医明确诊断。

牙菌斑堆积刺激牙龈引发慢性炎症,常伴随刷牙出血、口臭等症状。需通过超声波洁治清除牙结石,配合使用甲硝唑含漱液、盐酸米诺环素软膏等局部用药。日常使用巴氏刷牙法,每半年进行专业洁牙。
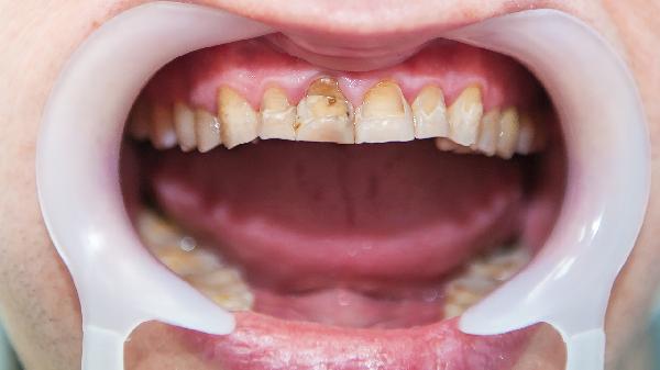
龋齿未治疗导致牙髓坏死感染扩散至根尖,表现为咬合痛、牙龈脓包。需进行根管治疗清除感染源,急性期可口服阿莫西林克拉维酸钾片,脓肿形成时需切开引流。避免用患侧咀嚼硬物。
长期服用苯妥英钠等药物或妊娠期激素变化可能导致牙龈纤维性增生。轻症通过牙周基础治疗控制,严重增生需手术切除。妊娠期患者分娩后多可自行缓解,药物引起者需咨询医生调整用药方案。

血糖控制不佳者易出现牙龈反复肿胀、愈合缓慢。需监测血糖并规范治疗,口腔治疗前需预防性使用抗生素如头孢克肟分散片。建议糖尿病患者每3个月进行牙周检查。
白血病等血液病早期可表现为牙龈自发性出血、肿胀。需进行血常规检查排查,确诊后需针对原发病治疗。避免自行使用抗凝药物,选用软毛牙刷减少机械刺激。

长期牙龈肿胀患者应每日使用牙线清洁牙缝,选用含氯己定的牙膏辅助控制菌斑。避免吸烟、过量饮酒等刺激因素,增加维生素C摄入有助于牙龈修复。若肿胀伴随发热、淋巴结肿大等全身症状,需立即就诊排查系统性疾病。定期口腔检查能早期发现潜在问题,建议每半年到专业机构进行牙周评估。