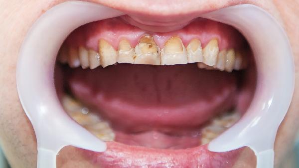
全瓷牙牙龈增生是否需要切除,通常取决于增生的程度和症状。如果牙龈增生轻微且没有明显不适,一般无须切除。如果增生严重导致疼痛、出血或影响美观,可能需要手术切除。

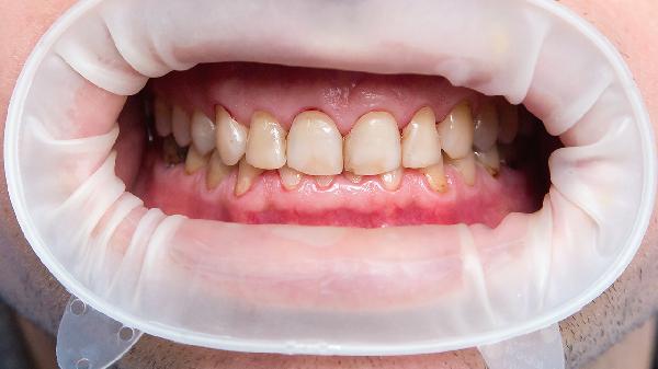
牙龈增生轻微时,可能仅表现为牙龈轻微肿胀或颜色改变,不会对日常生活造成明显影响。这种情况下可以通过改善口腔卫生习惯来缓解症状,例如使用软毛牙刷、定期洗牙、避免刺激性食物。增生的牙龈可能随着口腔卫生的改善而逐渐恢复,无须进行手术干预。

牙龈增生严重时,可能出现牙龈明显肿胀、出血、疼痛或影响全瓷牙的贴合度。这种情况下,增生的牙龈可能无法通过非手术方式改善,需要手术切除以恢复牙龈正常形态和功能。手术通常由口腔科医生在局部麻醉下进行,术后需注意口腔护理,避免感染和复发。

全瓷牙牙龈增生可能与口腔卫生不良、修复体边缘不密合、局部刺激等因素有关。建议定期进行口腔检查,保持良好口腔卫生习惯,避免牙龈增生加重。如果出现牙龈增生症状,应及时就医,由专业医生评估是否需要手术切除。