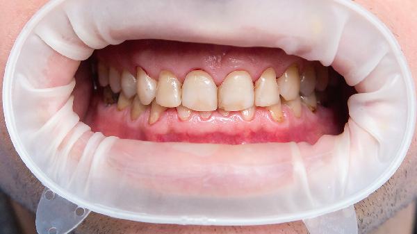
牙龈肿包可能会自行消除,也可能需要医疗干预。牙龈肿包通常与炎症或感染有关,若症状轻微且及时改善口腔卫生,可能自行消退;若肿包持续存在或伴随疼痛、化脓等症状,通常无法自行消除,需就医治疗。

牙龈肿包若由轻微牙龈炎或食物残渣刺激引起,通过加强口腔清洁、使用漱口水、避免刺激性食物等措施,炎症可能逐渐缓解,肿包随之消退。这种情况下,肿包通常较小,无剧烈疼痛或发热等全身症状,改善生活习惯后数日内可见好转。

若牙龈肿包由牙周脓肿、根尖周炎或智齿冠周炎等感染性疾病导致,常伴随明显疼痛、局部化脓、牙龈出血或牙齿松动,此时肿包难以自行消除。感染可能扩散至周围组织,甚至引起颌面部肿胀或发热,需通过抗生素治疗、脓肿切开引流或根管治疗等医疗手段干预。长期未处理的慢性炎症还可能形成牙龈瘘管,需手术切除。

日常应保持每日两次巴氏刷牙法清洁牙齿,配合牙线及漱口水使用,避免过硬或过烫食物刺激牙龈。出现牙龈肿包超过3天未消退、疼痛加剧或伴随发热时,应及时到口腔科就诊,避免感染加重。孕妇、糖尿病患者等免疫力较低人群更需警惕牙龈感染风险,尽早就医评估。