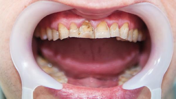
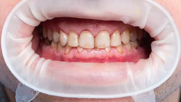
牙龈肿发黑可能由牙周炎、牙龈炎、龋齿、外伤或全身性疾病等原因引起,可通过口腔清洁、药物治疗、手术治疗等方式改善。牙龈肿发黑通常表现为牙龈红肿、出血、疼痛等症状,建议及时就医明确病因。

牙周炎可能与牙菌斑堆积、牙结石刺激等因素有关,通常表现为牙龈红肿、牙齿松动、口臭等症状。牙周炎患者可遵医嘱使用甲硝唑片、阿莫西林胶囊、盐酸米诺环素软膏等药物控制感染,必要时需接受龈下刮治术或翻瓣术治疗。
牙龈炎可能与口腔卫生习惯不良、激素水平变化等因素有关,通常表现为牙龈出血、肿胀、颜色暗红等症状。牙龈炎患者可遵医嘱使用复方氯己定含漱液、西吡氯铵含片、碘甘油等药物消炎,同时需加强巴氏刷牙法清洁。
龋齿可能与细菌产酸腐蚀、糖分摄入过多等因素有关,通常表现为牙齿黑斑、敏感疼痛、牙龈肿胀等症状。龋齿患者需及时进行充填治疗或根管治疗,可配合使用氟化钠甘油糊剂、氨硝酸银溶液等药物抑制龋坏进展。

牙龈外伤可能与机械损伤、烫伤等因素有关,通常表现为局部淤血、肿胀、黏膜破损等症状。外伤后需用生理盐水冲洗创面,避免感染,严重者可遵医嘱使用头孢克洛分散片、布洛芬缓释胶囊等药物缓解症状。
全身性疾病可能与贫血、糖尿病、白血病等因素有关,通常表现为牙龈自发性出血、颜色暗紫、愈合缓慢等症状。需针对原发病治疗,如缺铁性贫血患者可补充琥珀酸亚铁片,糖尿病患者需控制血糖水平。

牙龈肿发黑患者日常应使用软毛牙刷早晚刷牙,配合牙线清洁牙缝,避免进食过硬过烫食物。吸烟者需戒烟,妊娠期女性需加强口腔护理。若肿胀持续超过3天或伴随发热、化脓等症状,应立即就诊口腔科。定期每6-12个月进行洁牙和口腔检查,预防牙龈病变加重。