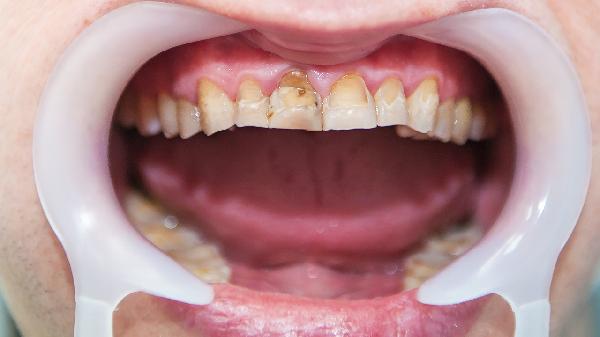
牙龈灌脓通常由牙周炎、根尖周炎、龋齿继发感染、智齿冠周炎或外伤性牙龈损伤等原因引起,可通过局部清创、抗生素治疗、根管治疗、手术引流或拔牙等方式干预。

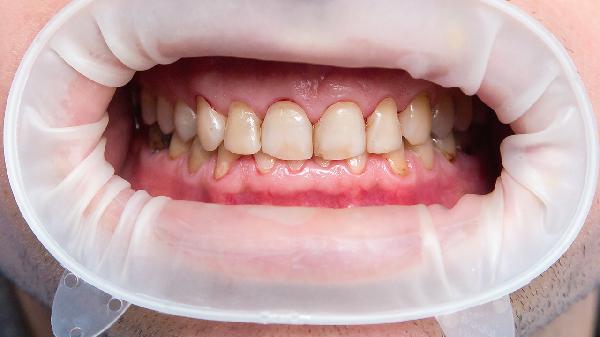
牙周炎是牙龈灌脓最常见的原因,与牙菌斑堆积刺激牙龈有关。典型表现为牙龈红肿出血、牙周袋形成伴脓性分泌物。需进行龈下刮治清除菌斑结石,配合使用甲硝唑片、盐酸米诺环素软膏等药物控制感染。日常需加强巴氏刷牙法清洁。
龋坏或牙外伤导致牙髓坏死,感染扩散至根尖区形成脓肿。患牙有咬合痛、叩击痛,对应牙龈处可见瘘管溢脓。需行根管治疗清除坏死组织,急性期可口服阿莫西林克拉维酸钾片抗感染,脓肿形成需切开引流。
深龋未及时治疗可引发牙髓炎,进一步发展为根尖脓肿。可见龋洞内食物嵌塞、牙龈肿胀波动感。需去除腐质后视情况做盖髓术或根管治疗,配合使用头孢克洛干混悬剂控制炎症。

阻生智齿周围牙龈瓣下食物残渣堆积引发感染。表现为智齿区牙龈红肿化脓、张口受限。急性期用复方氯己定含漱液冲洗盲袋,口服罗红霉素分散片消炎,炎症消退后建议拔除阻生齿。
硬物刺伤或刷牙过度导致牙龈撕裂后继发感染。创口处可见脓性分泌物,周围组织充血。需清创后局部涂抹碘甘油,配合维生素C片促进愈合。避免进食尖锐食物刺激伤口。

出现牙龈灌脓应尽早就医口腔科,避免用力挤压脓包。治疗期间保持口腔卫生,使用软毛牙刷轻柔清洁,饭后用生理盐水漱口。饮食宜清淡,避免过烫、辛辣食物刺激患处。吸烟患者需暂停吸烟以促进组织修复。