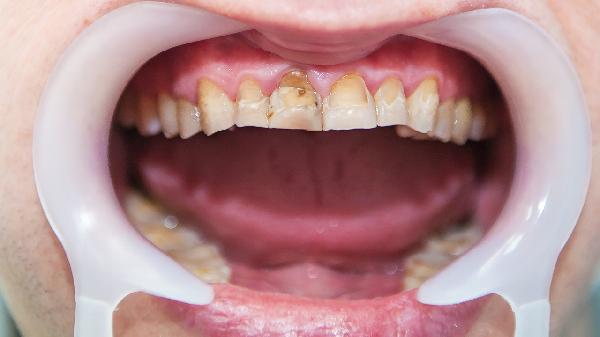
牙龈多长了一坨肉可能与牙龈增生、牙龈瘤、智齿冠周炎、根尖周脓肿、口腔纤维瘤等因素有关,可通过口腔检查、药物治疗、手术治疗等方式处理。牙龈异常增生通常由局部刺激、慢性感染、药物副作用或肿瘤性病变引起,需结合临床表现和病理检查明确诊断。

长期口腔卫生不良或佩戴不合适的义齿可能导致慢性炎症刺激,引发牙龈组织过度生长。表现为无痛性粉红色肿块,质地柔软。需通过超声洁治清除牙结石,严重者可遵医嘱使用复方氯己定含漱液抑制菌斑,或采用牙龈成形术修整形态。避免使用苯妥英钠类可能引起药物性牙龈增生的药物。
妊娠期激素变化或局部创伤可诱发血管性牙龈瘤,常见于妊娠期女性前牙区。病灶呈紫红色结节状,易出血。妊娠结束后多自行消退,持续存在者需手术切除。病理类型包括纤维型、肉芽肿型和血管型,术后复发概率较高者需配合使用盐酸米诺环素软膏控制感染。
阻生智齿周围软组织化脓性炎症时,可形成冠周脓肿伴肉芽组织增生。伴随张口受限、颌面部肿胀等症状。急性期需用生理盐水冲洗盲袋,口服阿莫西林克拉维酸钾片抗感染,炎症控制后尽早拔除阻生齿。反复发作可能继发颌骨骨髓炎。

龋齿未治疗导致牙髓坏死,感染扩散至根尖区形成脓肿突破牙龈时,可见瘘管口肉芽增生。需行根管治疗清除感染源,配合甲硝唑芬布芬胶囊控制急性症状。长期慢性炎症刺激可能引发根尖周囊肿,需通过颌骨刮治术彻底清除病变。
口腔黏膜纤维组织良性肿瘤多发生于颊、舌、牙龈等部位,表现为缓慢生长的硬结,表面黏膜正常。手术切除是主要治疗方式,术后送病理检查排除纤维肉瘤等恶性病变。避免反复咬伤等机械刺激可降低复发风险。

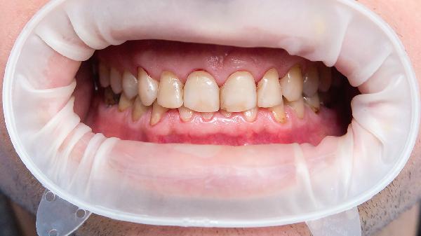
日常应使用软毛牙刷配合巴氏刷牙法清洁口腔,每半年进行专业洁牙。出现牙龈肿块持续增大、出血、疼痛时需及时就诊口腔外科,避免自行挑破或挤压。糖尿病患者需严格控制血糖,服用免疫抑制剂者应加强口腔检查频率。妊娠期牙龈瘤患者分娩后3个月需复查,必要时进行牙周基础治疗。