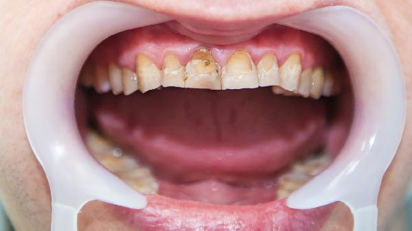
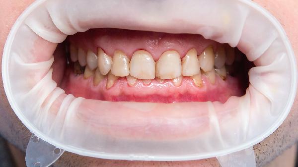
牙龈肿了个肉坨可能与牙龈炎、牙周脓肿、根尖周炎、智齿冠周炎或牙龈增生有关,可通过口腔清洁、局部用药、抗生素治疗、切开引流或手术切除等方式处理。牙龈肿胀通常由细菌感染、食物嵌塞、牙齿排列不齐、免疫力下降或激素变化等因素引起。

使用软毛牙刷和牙线彻底清除牙菌斑,配合含氯己定的漱口水抑制细菌繁殖。每日用温盐水漱口3-4次可减轻炎症,避免辛辣刺激食物加重肿胀。对于智齿周围肿胀,需重点清洁盲袋区域。
遵医嘱使用西地碘含片缓解局部感染,或涂抹盐酸米诺环素软膏控制炎症。复方氯己定地塞米松膜可贴敷于肿胀处,兼具抗菌消炎作用。用药期间避免舔舐患处,防止药物误吞。
细菌感染引起的化脓性肿胀需口服阿莫西林克拉维酸钾片,对青霉素过敏者可选用甲硝唑片。头孢克肟分散片适用于重度感染,需完成全程用药。用药期间禁止饮酒,观察是否出现腹泻等不良反应。

形成明显脓腔时需由口腔科医生行脓肿切开术,排出脓液后放置引流条。术后24小时内避免刷牙漱口时过度用力,进食流质食物。配合服用罗红霉素胶囊预防继发感染。
长期存在的牙龈增生或纤维性肿块需行牙龈成形术,采用高频电刀切除病变组织。妊娠期牙龈瘤应在分娩后手术,术后使用康复新液含漱促进创面愈合。病理检查可明确肿块性质。

保持每日两次巴氏刷牙法清洁,每半年进行专业洁牙。糖尿病患者需严格控制血糖,孕妇应注意口腔卫生维护。肿胀持续3天不缓解、伴随发热或张口困难时,应立即就诊口腔颌面外科。避免自行挑破肿块防止感染扩散,术后1周内忌食过硬过烫食物。