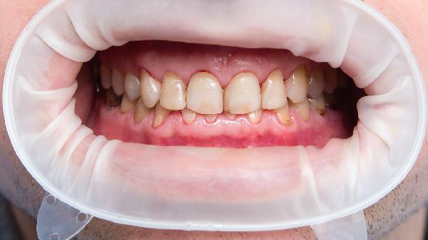
牙龈变黑可能由外源性色素沉积、牙周疾病、重金属中毒、药物副作用或遗传性疾病等原因引起。牙龈变黑可能与吸烟、口腔卫生不良、牙结石堆积等因素有关,也可能与系统性疾病的局部表现相关。

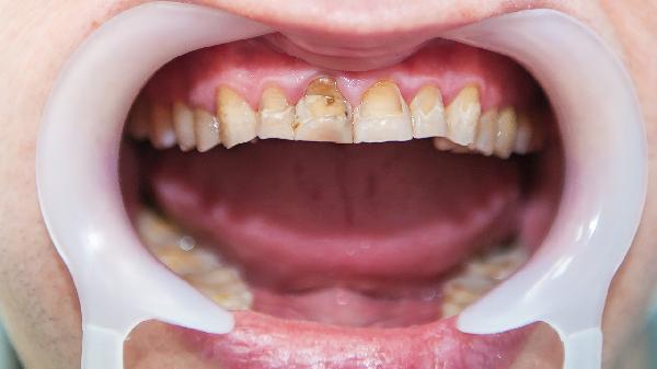
长期吸烟或咀嚼槟榔会导致烟斑或槟榔色素沉积在牙龈表面。饮用浓茶、咖啡等深色饮料也可能造成牙龈染色。这类情况通常伴随牙齿表面色素沉着,通过专业洁治和戒烟可改善。
慢性牙周炎可能导致牙龈边缘出现灰黑色线状改变,这与炎症引发的黑色素沉积有关。患者常伴有牙龈出血、口臭等症状,需通过龈下刮治配合使用甲硝唑含漱液、盐酸米诺环素软膏等药物控制感染。
铅、汞等重金属中毒时,牙龈边缘可能出现蓝灰色铅线或汞线。这种情况常见于从事冶炼、电池制造等职业暴露人群,需进行血铅检测并使用依地酸钙钠注射液等驱铅药物治疗。

长期使用米诺环素胶囊、氯丙嗪片等药物可能引起牙龈黏膜色素沉着。抗疟药如磷酸氯喹片也可能导致牙龈蓝灰色改变,通常停药后色素会逐渐消退。
艾迪生病等内分泌疾病可能引发口腔黏膜广泛性色素沉着。神经纤维瘤病患者的牙龈可能出现牛奶咖啡斑,这类情况需结合全身症状进行激素替代等综合治疗。

建议每日使用软毛牙刷和牙线清洁牙齿,避免吸烟及过量饮用深色饮料。发现牙龈颜色异常改变时,应及时就诊口腔黏膜科或牙周科,进行口腔检查、血液检测等明确病因。孕期女性出现牙龈颜色加深可能与激素变化有关,需加强口腔护理并定期复查。