牙龈呈现乌黑色可能与局部色素沉着、药物影响、重金属沉积、口腔疾病或全身性疾病等因素有关。牙龈颜色异常通常由{生理性色素沉着}、{药物性牙龈色素沉着}、{重金属中毒}、{口腔黏膜病变}、{全身性疾病}等原因引起,可通过{口腔检查}、{药物调整}、{排毒治疗}、{局部治疗}、{全身疾病管理}等方式干预。

部分人群因遗传或种族因素,牙龈可能出现均匀的乌黑色素沉着,属于正常生理现象。常见于深肤色人种,表现为牙龈黏膜无痛性黑斑,无出血或肿胀。此类情况无须特殊处理,但需改善外观可考虑激光美白治疗。日常应注意口腔清洁,避免吸烟等加重色素沉着的习惯。
长期服用米诺环素胶囊、氯丙嗪片等药物可能导致牙龈组织色素沉积。药物代谢产物在牙龈结缔组织中积累,形成灰黑色或蓝灰色斑块,多伴有牙龈增生。停药后色素可能逐渐消退,严重者需牙龈成形术。用药期间应加强口腔卫生,定期进行牙周洁治。
铅、汞等重金属接触史可能引发牙龈边缘出现蓝黑色铅线或汞线,常伴有头痛、腹痛等全身症状。重金属与口腔内硫化氢结合形成硫化金属颗粒沉积。需通过血铅检测确诊,采用依地酸钙钠注射液驱铅治疗。职业暴露人群应做好防护,定期监测血药浓度。

口腔黑斑病、恶性黑色素瘤等疾病可导致牙龈局部或弥漫性发黑。黑斑病表现为边界清晰的扁平黑斑,恶性黑色素瘤可能出现溃疡、出血。需通过活检明确性质,早期病变可采用冷冻治疗,恶性肿瘤需广泛切除术。发现牙龈异常色斑应及时就诊,避免反复摩擦刺激。
艾迪生病、血色病等内分泌或代谢性疾病可能引起牙龈黏膜广泛色素沉着。艾迪生病患者牙龈呈青铜色,伴有皮肤色素增加;血色病导致铁沉积可表现为蓝灰色牙龈。需治疗原发病,如补充氢化可的松片控制肾上腺功能减退。全身性疾病患者应定期口腔检查,监测病情变化。

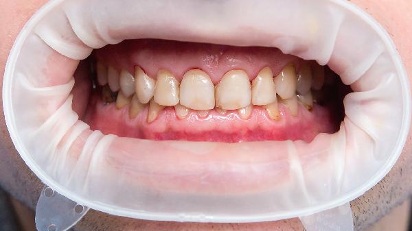
保持良好口腔卫生习惯是预防牙龈病变的基础,建议使用软毛牙刷和牙线清洁,每半年进行一次专业洁牙。吸烟者应戒烟以减少色素沉着风险,接触重金属人员需做好职业防护。若牙龈颜色改变伴随出血、疼痛或快速增大,应立即就医排查恶性病变。日常饮食注意补充维生素C和B族维生素,有助于维持牙龈健康状态。