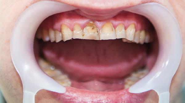
牙龈发炎一般3-7天可自愈,具体时间与炎症程度、日常护理等因素有关。

轻度牙龈炎通常由食物残渣刺激或轻微外伤引起,表现为牙龈红肿、刷牙出血。通过加强口腔清洁如使用软毛牙刷、淡盐水漱口,多数可在3天内缓解。避免进食辛辣或过硬食物有助于减轻刺激。若伴随牙菌斑堆积,可配合牙线清理邻面间隙。部分人群因激素水平波动如孕期可能出现短暂牙龈充血,通常无须特殊处理。保持每日两次有效刷牙和饭后漱口是基础护理措施。

当牙龈炎进展为化脓性炎症时,自愈时间可能延长至5-7天。此时可见牙龈边缘形成脓肿、按压疼痛明显,可能伴有轻微发热。需增加漱口频次至每日4-6次,优先选用氯己定含漱液等抗菌溶液。避免挤压肿胀部位以防感染扩散。若出现明显波动感或脓液渗出,提示可能需要局部引流。糖尿病患者或免疫力低下者恢复速度较慢,需密切观察体温变化。

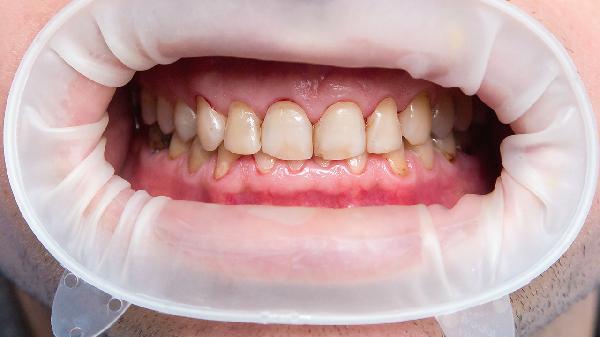
建议持续观察症状变化,若超过7天未缓解或出现剧烈疼痛、颌面部肿胀、发热超过38.5℃等情况,应及时就诊口腔科排查牙周脓肿、根尖周炎等继发感染。日常可使用含氟牙膏强化牙釉质,每半年进行一次专业洁牙清除顽固牙结石。吸烟者需减少烟草刺激以降低牙龈炎复发概率。