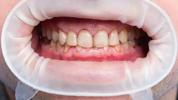
牙龈发白没血色可能与贫血、口腔黏膜病变、局部血液循环障碍、维生素缺乏、口腔感染等因素有关。牙龈颜色异常通常表现为苍白或灰白色,可能伴随牙龈萎缩、出血、疼痛等症状。建议及时就医检查,明确病因后针对性治疗。

缺铁性贫血或巨幼细胞性贫血可能导致牙龈黏膜供血不足,表现为苍白无血色。患者可能同时出现乏力、头晕、指甲脆裂等症状。治疗需补充铁剂如琥珀酸亚铁片、富马酸亚铁颗粒,或维生素B12如甲钴胺片,并增加红肉、动物肝脏等富含铁元素的食物摄入。
口腔扁平苔藓、白斑等疾病可引起牙龈黏膜角化异常,出现白色斑块或整体发白。这类疾病可能与免疫异常、慢性刺激有关,常伴随黏膜粗糙、灼痛感。需使用糖皮质激素如曲安奈德口腔软膏局部涂抹,或免疫调节剂如他克莫司软膏治疗。
牙周炎晚期或牙龈萎缩可能导致局部毛细血管减少,表现为牙龈苍白。长期吸烟、糖尿病等会加重微循环障碍。需治疗原发病,如使用甲硝唑口颊片控制牙周感染,配合龈下刮治等牙周基础治疗改善血液循环。

维生素B2、维生素C缺乏可导致牙龈黏膜修复能力下降,出现苍白、易出血。需补充复合维生素B片、维生素C泡腾片,并多食用猕猴桃、西蓝花等新鲜蔬菜水果。长期偏食或消化吸收障碍人群更需注意营养均衡。
真菌感染如口腔念珠菌病会在牙龈形成白色伪膜,伴随黏膜充血。免疫力低下者易发,需使用制霉菌素含漱液或氟康唑胶囊抗真菌治疗。同时应保持口腔卫生,避免滥用抗生素破坏菌群平衡。

日常需选用软毛牙刷轻柔清洁牙龈边缘,避免过度用力刷牙造成机械刺激。定期进行口腔检查,发现牙龈颜色异常持续不缓解时,应及时到口腔黏膜科或牙周科就诊。吸烟者应戒烟以减少对口腔黏膜的慢性损伤,糖尿病患者需严格控制血糖。饮食上注意补充优质蛋白和维生素,避免过硬、过烫食物刺激牙龈。