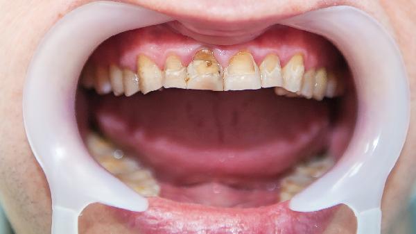
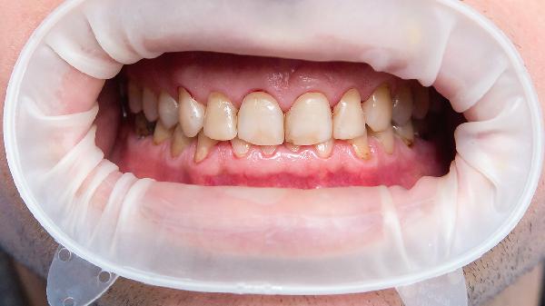
牙龈不贴紧牙齿可通过牙周基础治疗、药物治疗、手术治疗、口腔卫生维护、定期复查等方式改善。牙龈不贴紧牙齿通常由牙菌斑堆积、牙结石刺激、牙周炎、牙龈退缩、不良修复体等因素引起。

龈上洁治和龈下刮治是牙周基础治疗的核心手段,通过超声波或手工器械清除牙龈边缘及牙根表面的菌斑和牙结石。对于轻度牙龈退缩患者,牙周基础治疗能有效消除炎症,促进牙龈组织重新附着。治疗过程中可能出现短暂牙齿敏感,通常1-2周内自行缓解。
急性牙龈炎症期可遵医嘱使用盐酸米诺环素软膏、碘甘油等局部药物控制感染。伴有全身症状者可能需要口服甲硝唑片或阿莫西林胶囊。使用复方氯己定含漱液辅助消炎时,需避免长期使用导致口腔菌群失调。
中重度牙龈退缩可采用游离龈移植术或结缔组织移植术覆盖暴露的牙根面。对于牙槽骨吸收明显的病例,可能需要引导骨组织再生术。术后需严格遵循医嘱使用氯己定含漱液预防感染,避免剧烈运动影响伤口愈合。

采用巴氏刷牙法配合牙线清洁牙齿邻面,建议选用软毛牙刷和含氟牙膏。避免横向用力刷牙造成牙龈机械性损伤。使用冲牙器辅助清洁时,建议选择最低档位防止水流冲击加重牙龈退缩。
牙周治疗后应每3-6个月进行专业维护,通过牙周探诊检查牙龈附着水平。糖尿病患者等高风险人群需缩短复查间隔。复查内容包括口腔卫生指导、菌斑染色检查和必要的预防性洁治。

日常应注意控制吸烟等加重牙周病的危险因素,增加维生素C和优质蛋白摄入促进牙龈修复。使用抗敏感牙膏缓解牙根暴露引起的不适,避免进食过冷过热食物刺激牙齿。出现牙龈出血或牙齿松动加重时须及时复诊,未经专业评估前不要自行使用牙龈按摩等民间疗法。