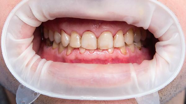
牙龈长肉球可能与牙龈瘤、根尖周脓肿或智齿冠周炎等疾病有关,可通过手术切除、抗感染治疗或局部冲洗等方式处理。建议及时就医明确诊断。

牙龈瘤是牙龈组织的良性增生,表现为无痛性肉球状肿物,可能与慢性刺激或激素变化有关。确诊后通常需手术切除,如牙龈瘤切除术,术后需保持口腔清洁。若合并感染可遵医嘱使用甲硝唑片、阿莫西林胶囊辅助抗炎。
龋齿或牙髓炎未及时治疗可能引发根尖周脓肿,导致牙龈隆起伴波动感。需进行根管治疗清除感染源,配合头孢克肟分散片、奥硝唑片控制感染。急性期可切开引流,避免咀嚼硬物刺激患处。
阻生智齿周围软组织发炎时,牙龈可出现红肿肉球并伴随张口困难。治疗采用双氧水冲洗盲袋,联合使用复方氯己定含漱液、罗红霉素胶囊。炎症消退后需评估是否需拔除阻生齿。

孕妇因激素变化可能出现牙龈瘤样增生,表现为暗红色肉球且易出血。通常分娩后可自行消退,严重时需在产科医生指导下行龈瘤切除术。日常建议使用软毛牙刷,避免用力刷牙刺激。
口腔黏膜创伤后可能形成血管性肉芽肿,表现为易出血的红色肉球。确诊后可通过激光或电灼去除,术后使用康复新液含漱促进愈合。避免反复咬伤患处,定期复查防止复发。

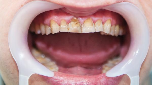
日常需使用巴氏刷牙法清洁口腔,饭后用牙线清除食物残渣,每半年进行专业洁牙。避免吸烟、过量饮酒等刺激因素,若肉球持续增大、出血或疼痛加剧,应立即复诊。糖尿病患者需加强血糖控制以降低口腔感染风险。