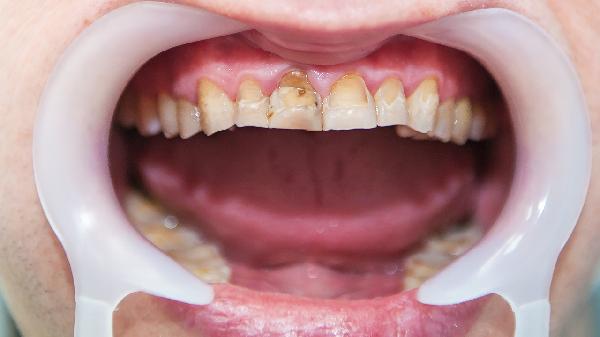
牙龈酸痛可能由牙周炎、龋齿、牙龈退缩、牙齿敏感、牙外伤等原因引起,通常表现为牙龈红肿、出血、冷热刺激痛等症状。建议及时就医检查,明确病因后针对性治疗。

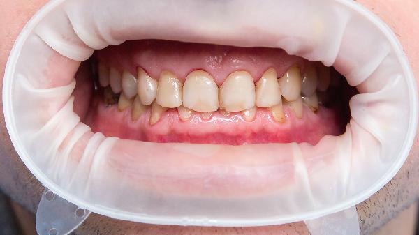
牙周炎是牙龈酸痛的常见原因之一,可能与牙菌斑堆积、口腔卫生不良等因素有关。患者常伴有牙龈红肿、刷牙出血、口臭等症状。治疗需通过超声波洁治清除牙结石,配合使用甲硝唑含漱液、盐酸米诺环素软膏等药物控制感染。日常需使用巴氏刷牙法,并定期口腔检查。
龋齿发展到牙本质层时可能引发牙龈酸痛,多与细菌产酸腐蚀牙体、糖分摄入过多有关。典型表现为进食冷热酸甜食物时疼痛,可见牙齿黑褐色龋洞。需采用复合树脂充填治疗,严重者需根管治疗。可选用含氟牙膏预防龋齿,避免睡前进食。
牙龈退缩导致牙根暴露会引起酸痛,常见于横向刷牙、牙周疾病或正畸治疗后。暴露的牙骨质对刺激敏感,可能伴随牙齿松动。治疗包括牙龈移植手术,使用脱敏牙膏如舒适达抗敏牙膏缓解症状,改用软毛牙刷竖刷法。

牙釉质磨损或牙龈退缩导致的牙本质敏感,接触冷空气或酸性食物时产生锐痛。与磨牙症、频繁漂白牙齿等因素相关。可采用氟化钠甘油糊剂脱敏治疗,佩戴咬合垫缓解夜磨牙,避免过度使用美白产品。
牙齿撞击或咬硬物后可能出现牙龈酸痛,常伴随牙齿裂纹、移位或牙龈撕裂。需拍摄牙片排除根折,轻症者可观察休息,严重者需固定患牙。急性期可用复方氯己定含漱液预防感染,避免用患侧咀嚼。

日常应注意选用软毛牙刷和含氟牙膏,采用巴氏刷牙法每日清洁两次,配合牙线清理牙缝。避免过冷过热饮食刺激,限制碳酸饮料和酸性食物摄入。每半年进行专业洁牙和口腔检查,发现牙龈出血或持续酸痛应及时就诊。孕妇、糖尿病患者等特殊人群更需加强口腔护理。