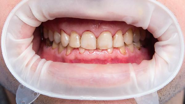
牙龈萎缩可能由牙周炎、刷牙方式不当、牙齿排列不齐、咬合创伤、遗传因素等原因引起。牙龈萎缩通常表现为牙根暴露、牙齿敏感、牙龈红肿等症状,可通过牙周治疗、正畸矫正、咬合调整等方式干预。

牙周炎是牙龈萎缩最常见的原因,与牙菌斑长期刺激有关。牙周炎会导致牙龈红肿出血,随着病情进展,牙槽骨吸收后牙龈逐渐退缩。患者可能伴随口臭、牙齿松动等症状。需通过龈上洁治、龈下刮治等牙周基础治疗控制炎症,必要时可遵医嘱使用甲硝唑口腔粘贴片、西吡氯铵含漱液等药物辅助治疗。
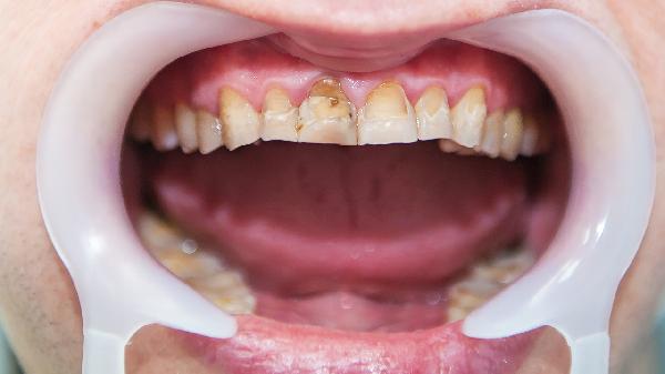
横向用力刷牙或使用硬毛牙刷可能造成机械性牙龈损伤。长期摩擦会导致牙龈组织不可逆退缩,常见于尖牙和前磨牙区。这类患者通常可见楔状缺损与牙龈退缩同步出现。建议改用巴氏刷牙法,选择软毛牙刷,避免过度用力。若已出现敏感症状,可使用含氟化亚锡的脱敏牙膏。
牙齿错位拥挤会导致局部牙龈覆盖不足,容易堆积菌斑引发炎症性萎缩。突出的牙齿因缺乏邻牙支撑,牙龈更易受到机械刺激。正畸治疗是根本解决方法,通过矫正牙齿位置使牙龈获得均匀受力。矫正期间需加强口腔清洁,可使用冲牙器辅助清理矫治器周围菌斑。

异常咬合力会破坏牙周组织平衡,导致受力侧牙龈进行性退缩。常见于深覆合、夜磨牙患者,可能伴随牙齿磨损、颞下颌关节不适等症状。需通过调磨咬合高点、佩戴咬合垫等方式减轻创伤,严重者需进行正颌手术矫正咬合关系。
部分人群牙龈组织天生较薄,对炎症或机械刺激的抵抗力较弱。这类患者往往年轻时即出现广泛性牙龈退缩,家族中常有类似病史。日常需格外注意口腔卫生维护,定期进行专业洁牙。可考虑采用游离龈移植术等手术治疗增强牙龈厚度。

牙龈萎缩患者应选用小头软毛牙刷,配合牙线或牙缝刷清洁邻面。避免吸烟、过量饮酒等加重牙龈损伤的行为。饮食上增加维生素C与钙质摄入,如西蓝花、乳制品等。每3-6个月进行专业口腔检查,早期发现异常及时干预。已发生萎缩的牙龈难以自然再生,重点在于控制进展并预防并发症。