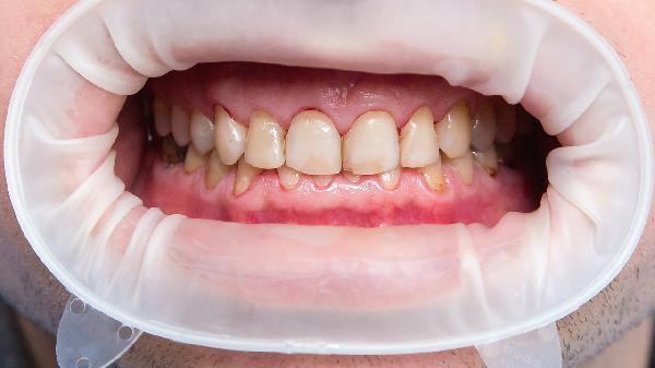
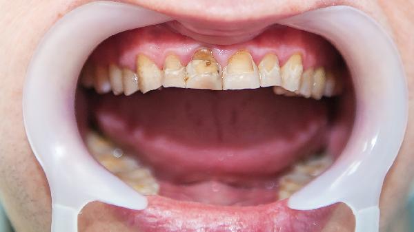
牙龈长血泡可能与口腔创伤、牙龈炎、血液疾病、维生素缺乏或药物副作用等因素有关。牙龈长血泡通常表现为局部肿胀、疼痛或出血,需根据具体原因采取针对性处理。

进食过硬食物、刷牙用力过猛或牙齿矫正器摩擦可能导致牙龈黏膜损伤,形成血泡。伴随局部红肿或轻微出血,一般无须特殊治疗,可避免刺激患处并使用复方氯己定含漱液清洁口腔。若血泡较大或反复出现,建议就医排除其他病因。
牙菌斑堆积引发的牙龈炎症可能造成毛细血管脆性增加,形成血泡。常伴有牙龈出血、口臭等症状。需通过超声波洁牙清除牙结石,配合甲硝唑口腔粘贴片或西吡氯铵含片控制感染,日常使用软毛牙刷和牙线维护口腔卫生。
血小板减少性紫癜、白血病等疾病可能导致凝血功能障碍,表现为牙龈自发性血泡。可能伴随皮肤瘀斑、鼻出血等症状。需通过血常规、凝血功能等检查确诊,遵医嘱使用氨甲环酸片或重组人血小板生成素注射液等药物治疗原发病。

长期维生素C或维生素K摄入不足会影响胶原蛋白合成和凝血因子活化,导致牙龈脆弱出血。可能出现牙龈萎缩、伤口愈合缓慢等症状。可通过增加新鲜蔬菜水果摄入补充营养,严重缺乏时需服用维生素C泡腾片或维生素K1注射液。
长期服用阿司匹林肠溶片、华法林钠片等抗凝药物可能增加牙龈出血风险。需监测凝血功能,必要时调整用药方案。服药期间应选用超软毛牙刷,避免食用尖锐食物,出血明显时可临时用肾上腺素注射液局部止血。

日常应注意保持口腔清洁,选用含氟牙膏和软毛牙刷,避免过烫或尖锐食物刺激牙龈。血泡未消退或伴随发热、淋巴结肿大等症状时需及时就诊口腔科。孕妇、儿童等特殊人群出现症状应尽早就医,避免自行使用药物。