牙龈不断分泌口水可能与口腔局部刺激、神经系统异常、消化系统疾病、药物副作用或心理因素有关。建议及时就医明确病因,针对性治疗。

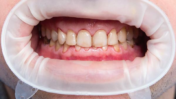
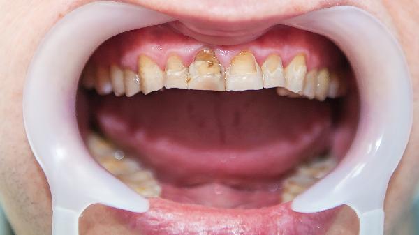
龋齿、牙周炎或口腔溃疡等炎症会刺激唾液腺反射性分泌增多。伴随牙龈红肿、疼痛等症状。可遵医嘱使用复方氯己定含漱液、西吡氯铵含片、甲硝唑口腔粘贴片控制感染。日常用温盐水漱口减少刺激。
帕金森病、脑卒中等可能影响唾液分泌中枢,导致唾液分泌失控。常伴有肢体震颤或言语障碍。需通过头颅CT确诊,可使用盐酸苯海索片、多巴丝肼胶囊等调节神经功能。
胃食管反流或慢性胃炎可能通过迷走神经反射引发唾液过量。多伴反酸、烧心感。建议胃镜检查,奥美拉唑肠溶胶囊、铝碳酸镁咀嚼片可缓解症状。避免睡前饮食。

部分抗抑郁药如盐酸舍曲林片、抗癫痫药如卡马西平片可能干扰唾液分泌调节。需咨询医生调整用药方案,不可自行停药。
焦虑或紧张状态可能通过交感神经兴奋引发暂时性唾液增多。可通过正念训练缓解,严重时遵医嘱使用劳拉西泮片短期控制。

保持口腔清洁,每日刷牙两次并使用牙线。避免辛辣刺激性食物,戒烟限酒。若症状持续超过一周或伴随发热、吞咽困难等,需尽早就诊排查肿瘤等器质性疾病。孕妇及儿童出现该症状应优先考虑生理性因素,但仍需专业评估。