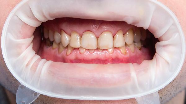
牙龈红肿可能由牙菌斑堆积、维生素缺乏、妊娠期激素变化、牙周炎、白血病等因素引起。牙龈红肿通常表现为牙龈颜色变深、触碰疼痛、刷牙出血等症状,可通过口腔清洁、补充营养、药物治疗等方式改善。

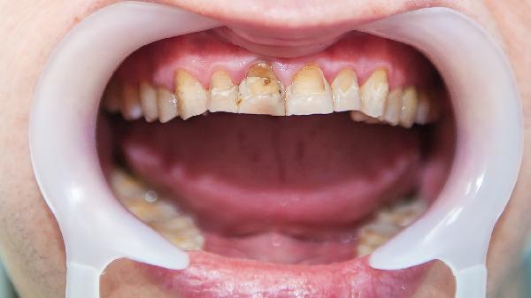
口腔清洁不足导致食物残渣与细菌形成牙菌斑,刺激牙龈引发红肿。伴随口臭、牙齿表面黏腻感,可通过巴氏刷牙法、使用牙线及含氯己定的漱口水改善。若发展为牙龈炎需配合医生使用甲硝唑口腔粘贴片或复方氯己定含漱液。
长期缺乏维生素C会降低牙龈抵抗力,出现肿胀出血。可能伴有皮肤瘀斑、伤口愈合缓慢,建议增加鲜枣、猕猴桃等摄入,必要时遵医嘱服用维生素C片。维生素B族缺乏也可能导致口腔黏膜炎症,需均衡饮食补充全谷物和瘦肉。
孕期雌激素水平升高会使牙龈血管扩张充血,形成妊娠期龈炎。特征为牙龈呈鲜红色、易出血,产后多自行缓解。期间可使用软毛牙刷配合康复新液含漱,避免刺激食物,定期进行口腔检查。

牙菌斑长期存在引发牙周组织感染,表现为牙龈红肿溢脓、牙齿松动。与吸烟、糖尿病等因素相关,需通过龈下刮治清除牙结石,配合盐酸米诺环素软膏等局部用药。重度者可能需翻瓣手术。
血液病导致血小板异常会引起牙龈自发性出血肿胀,可能伴随发热、贫血。需血液科确诊后治疗原发病,口腔护理选用生理盐水轻柔清洁,避免使用硬毛牙刷刺激出血。

日常需采用巴氏刷牙法每日清洁两次,每半年洗牙一次清除牙结石。牙龈持续红肿超过一周或伴随发热时,应及时就诊排查全身性疾病。妊娠期女性及血液病患者出现症状应优先就医,避免自行使用抗菌漱口水。