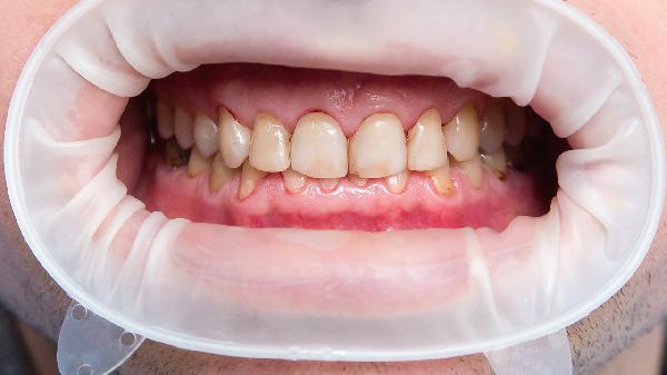
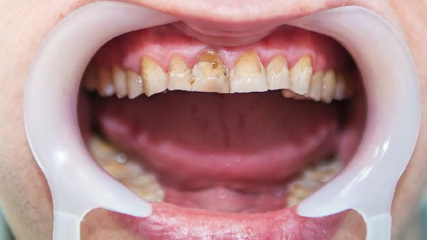
上牙龈突出可通过正畸治疗、牙周治疗、手术矫正、改善口腔习惯、佩戴矫治器等方式改善。上牙龈突出通常由遗传因素、不良口腔习惯、牙周疾病、牙齿排列异常、颌骨发育异常等原因引起。

正畸治疗适用于牙齿排列不齐导致的上牙龈突出。通过佩戴固定或隐形矫治器,调整牙齿位置和咬合关系,改善牙龈外露程度。治疗前需拍摄X光片评估牙槽骨状态,常见矫治器包括金属托槽、陶瓷托槽、隐形矫治器等。治疗周期通常需要1-3年,需定期复诊调整力度。
牙周炎或牙龈增生可能引发牙龈组织过度生长。需通过龈上洁治、龈下刮治清除菌斑结石,严重者可配合牙龈切除术。常用药物包括复方氯己定含漱液、盐酸米诺环素软膏、甲硝唑片等。治疗后需保持口腔卫生,使用软毛牙刷避免刺激牙龈。
颌骨发育异常导致的骨性突出需正颌手术。通过截骨术调整上颌骨位置,配合术前术后正畸治疗。常见术式包括LeFortI型截骨术、上颌前部截骨术等。术后需流质饮食,避免剧烈运动,定期复查骨愈合情况。

长期口呼吸、咬唇等习惯会导致上颌前突。可通过唇肌训练、鼻腔通气练习纠正,儿童可使用前庭盾阻断不良习惯。建议白天保持嘴唇自然闭合,睡眠时可用专用胶带辅助闭口,必要时需耳鼻喉科检查是否存在鼻咽部阻塞。
功能性矫治器适用于生长发育期青少年。如Twin-block矫治器、Frankel矫治器等可引导颌骨正常发育,抑制上颌过度前突。需每日佩戴12小时以上,配合咀嚼训练。矫治期间避免过硬食物,防止矫治器损坏。

日常需使用含氟牙膏配合巴氏刷牙法,每日至少清洁两次,饭后使用牙线或冲牙器。避免单侧咀嚼、咬硬物等行为,儿童应定期进行口腔检查。若伴随口呼吸症状,需排查过敏性鼻炎或腺样体肥大等问题。正畸治疗期间需严格遵循医嘱,保持矫治器清洁,出现托槽脱落或牙龈出血应及时复诊。