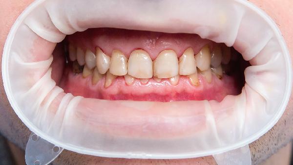
牙龈根部长白色脓包通常由根尖周炎、牙周脓肿或龋齿继发感染引起,可通过根管治疗、脓肿切开引流、抗生素治疗等方式处理。该症状可能与细菌感染、外伤、免疫低下等因素有关,常伴随牙龈肿痛、咬合不适等症状。

根尖周炎多由龋齿未及时治疗导致细菌侵入牙髓引起,炎症扩散至根尖区形成脓液积聚。患者会出现牙龈肿胀、牙齿松动感,叩诊时疼痛明显。需进行根管治疗清除感染源,配合使用甲硝唑片、阿莫西林胶囊等抗生素控制感染。若脓液较多可能需切开引流。
牙周脓肿常因牙结石刺激或食物嵌塞导致局部感染,形成袋状脓腔。表现为牙龈红肿、按压溢脓,可能伴随口臭。治疗需通过超声洁治清除菌斑,脓肿成熟后需切开排脓,术后使用复方氯己定含漱液消炎,必要时口服头孢克肟分散片。
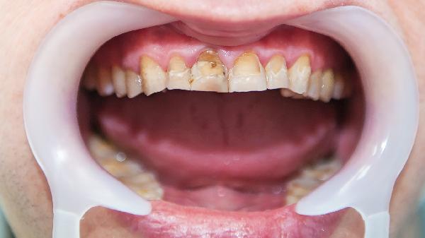
深龋未治疗可能引发牙髓坏死,细菌通过根管扩散至根尖区形成脓肿。可见龋洞及牙龈瘘管,X线显示根尖阴影。需彻底去腐后行根管治疗,急性期可服用布洛芬缓释胶囊缓解疼痛,配合使用人工牛黄甲硝唑胶囊抗感染。

牙齿受到撞击或咬硬物可能导致根尖区血管破裂,血肿继发感染形成脓肿。表现为外伤史后牙龈突发肿包,牙齿变色。需拍摄牙片排除根折,轻度损伤可观察,严重者需根管治疗联合罗红霉素胶囊预防感染。
糖尿病或长期服用免疫抑制剂患者易发生口腔机会性感染,牙龈脓包可能反复发作。除局部治疗外需控制基础疾病,增强免疫力。可使用转移因子口服溶液调节免疫,配合盐酸米诺环素软膏局部涂抹。

日常需保持口腔卫生,使用软毛牙刷轻柔清洁患处,避免挤压脓包。饭后用温盐水漱口,忌食辛辣刺激食物。若脓包持续增大伴发热,或出现面部肿胀、呼吸困难等全身症状,须立即就医。定期口腔检查能早期发现龋齿和牙周问题,建议每半年进行一次专业洁牙。