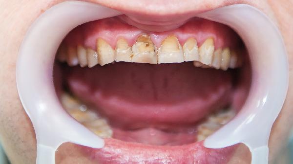
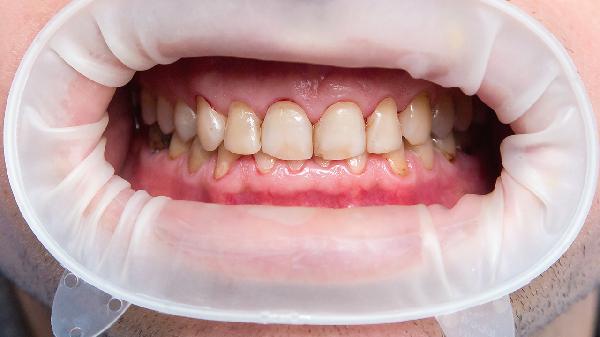
牙龈发炎可通过盐水漱口、冷敷消肿、保持口腔清洁、使用非处方消炎药物、调整饮食等方式自行处理。牙龈发炎通常由牙菌斑堆积、食物嵌塞、维生素缺乏、免疫力下降、牙周疾病等原因引起。

用温盐水漱口有助于减轻牙龈炎症。将半茶匙食盐溶解于200毫升温水中,每日重复进行3-4次。盐水能抑制口腔细菌繁殖,缓解牙龈红肿疼痛。注意避免使用过高浓度盐水,防止刺激黏膜。
用冰袋或冷毛巾外敷面部肿胀区域,每次持续5-10分钟。低温能收缩血管减少渗出,缓解牙龈充血和疼痛。冷敷间隔需超过30分钟,避免冻伤皮肤。若出现牙齿敏感加重应停止使用。
改用软毛牙刷轻柔清洁患处,配合牙线清除牙缝残留物。每日早晚刷牙后使用含氯己定的漱口水,维持口腔环境清洁。避免用力刷牙导致牙龈二次损伤,刷牙后检查是否有出血加重情况。

可短期使用西地碘含片、甲硝唑口腔粘贴片、乙酰螺旋霉素片等非处方药。这些药物能抑制厌氧菌感染,减轻局部炎症反应。使用前需确认无药物过敏史,症状未缓解应及时停用。
增加维生素C丰富的猕猴桃、西蓝花等食物,避免过硬、过烫或辛辣刺激性饮食。适量饮用菊花茶、金银花露等具有清热解毒作用的饮品,减少咖啡因和酒精摄入。

牙龈发炎期间应保证每日饮水超过1500毫升,避免用患侧咀嚼食物。若出现持续出血、化脓或牙齿松动,可能提示牙周脓肿或根尖周炎等严重情况,须在24小时内就诊。日常建议每半年进行专业洁牙,使用含氟牙膏配合巴氏刷牙法,控制牙菌斑形成速度。吸烟者需减少烟草接触,糖尿病患者应加强血糖监测,这些措施均有助于预防牙龈炎症复发。