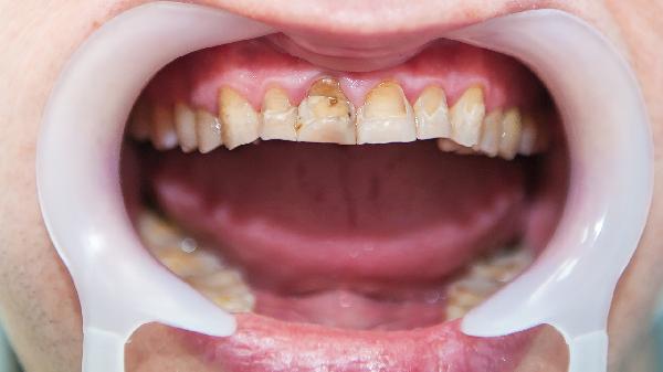
牙龈肿了是否需要吃药需根据具体病因决定,多数情况下需配合药物治疗,但部分轻微症状可通过生活护理缓解。牙龈肿胀可能与牙龈炎、牙周炎、智齿冠周炎、龋齿继发感染或外伤等因素有关。

牙龈肿胀若由细菌感染引起,通常需使用抗生素控制炎症。甲硝唑片可抑制厌氧菌繁殖,适用于牙周脓肿合并厌氧菌感染;阿莫西林胶囊对链球菌等常见口腔致病菌有效;布洛芬缓释胶囊能缓解肿痛但无法根治感染。智齿冠周炎急性发作时,医生可能开具头孢克肟分散片联合替硝唑片进行抗炎治疗。伴有明显化脓者需配合氯己定含漱液局部消毒。

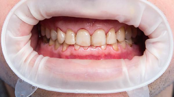
非感染性牙龈肿胀可能无需药物干预。妊娠期激素变化导致的牙龈增生可通过盐温水漱口改善;维生素C缺乏引起的牙龈出血应增加新鲜蔬果摄入;正畸托槽摩擦造成的局部肿胀需调整矫治器位置。食物嵌塞引发的牙龈乳头炎使用牙线清理后多可自行消退,但反复发作需排查邻面龋齿。

建议避免自行服用抗生素,及时就诊口腔科明确病因。日常使用软毛牙刷配合巴氏刷牙法,每半年进行专业洁治。急性肿胀期间忌食辛辣刺激食物,用冰袋外敷可减轻疼痛。若伴随发热、张口受限或面部肿胀,提示感染扩散,须立即就医。