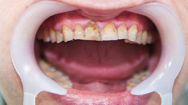
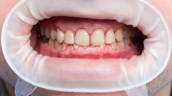
刷牙牙龈痛可通过调整刷牙方式、使用软毛牙刷、局部冷敷、遵医嘱使用药物、治疗基础疾病等方式缓解。牙龈痛通常由刷牙力度过大、牙龈炎、牙周炎、牙齿敏感、维生素缺乏等原因引起。

采用巴氏刷牙法,牙刷与牙齿呈45度角轻柔打圈清洁,避免横向用力刷洗。每次刷牙时间控制在2-3分钟,每日早晚各一次。过度摩擦或刷牙时间过长可能损伤牙龈组织。
选择刷毛顶端磨圆处理的软毛牙刷,避免硬毛牙刷刺激牙龈。刷头大小以能覆盖2-3颗牙齿为宜,每3个月更换一次。电动牙刷建议选用敏感模式,振幅不宜过大。
用冰袋包裹毛巾后轻敷患处5-10分钟,每日2-3次。低温能收缩毛细血管减轻充血肿胀,但禁止直接接触冰块避免冻伤。冷敷后可用生理盐水漱口清洁。

细菌感染引起的牙龈炎可遵医嘱使用西帕依固龈液含漱,或局部涂抹丁硼乳膏。急性疼痛可短期应用复方氯己定含漱液,过敏体质者慎用人工牛黄甲硝唑胶囊。
牙周炎需进行龈下刮治等专业治疗,牙齿敏感可使用含氟化钠的脱敏牙膏。长期维生素C缺乏需补充柑橘类水果,糖尿病患者需控制血糖减少牙龈出血风险。

日常建议使用含芦荟或金缕梅成分的漱口水护理,避免过冷过热饮食刺激。选择含硝酸钾的脱敏牙膏时需持续使用4周以上见效。若伴随牙齿松动、化脓或持续出血,需及时进行牙周探诊和X线检查。妊娠期女性出现牙龈肿痛应优先咨询产科医生后再用药。