正常牙龈与萎缩牙龈的区别主要体现在颜色、形态、质地及功能等方面。牙龈萎缩通常由牙周炎、刷牙方式不当、遗传因素、激素变化或牙齿排列不齐等原因引起。

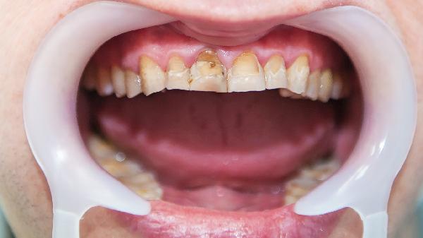
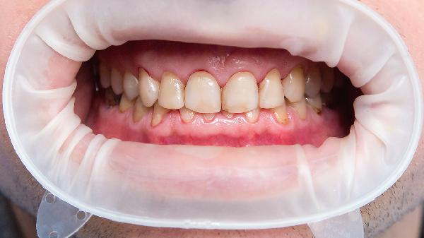
正常牙龈呈淡粉色,表面光滑且质地坚韧。牙龈萎缩时,牙龈颜色可能变暗红或苍白,部分区域因牙根暴露呈现黄色。牙周炎导致的萎缩常伴随牙龈边缘红肿,刷牙不当引起的萎缩则可能伴随局部充血或出血。
正常牙龈紧密包裹牙颈部,边缘呈扇贝状。牙龈萎缩后,牙根逐渐暴露,牙龈边缘变平或凹陷,牙齿视觉上变长。重度萎缩时,牙根分叉区域可能暴露,牙齿出现松动。牙齿排列不齐者常见局部牙龈高低不平的萎缩。
健康牙龈质地致密,按压有弹性。萎缩牙龈因胶原纤维流失,可能变薄变脆,触碰易出血。长期炎症导致的萎缩区域常伴随牙龈乳头消失,相邻牙齿间出现黑色三角间隙。

正常牙龈能有效隔绝外界刺激。萎缩牙龈因保护功能下降,暴露的牙根对冷热敏感,进食酸性食物易产生刺痛。牙周炎引起的萎缩还可能伴随口臭、咀嚼无力等症状。
牙龈萎缩可能与牙周炎、糖尿病、骨质疏松等系统性疾病有关。牙周炎导致的萎缩通常伴随牙槽骨吸收,需通过龈下刮治术配合盐酸米诺环素软膏治疗。遗传性牙龈萎缩早期可使用重组人表皮生长因子凝胶延缓进展。

建议每日使用软毛牙刷以巴氏刷牙法清洁,避免横向用力刷牙。每半年接受一次牙周检查,牙周炎患者可遵医嘱使用复方氯己定含漱液控制炎症。饮食注意补充维生素C和钙质,减少碳酸饮料摄入。若发现牙龈持续退缩、牙齿敏感加重,应及时到口腔科进行专业评估和治疗。