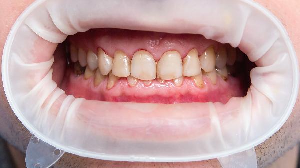
笑起来露牙龈可通过正畸治疗、注射肉毒杆菌、牙龈修整术、唇肌训练、表情管理等方式改善。牙龈过度暴露可能与颌骨发育异常、牙龈增生、上唇过短等因素有关。

通过佩戴矫治器调整牙齿和颌骨位置,适用于因上颌骨前突或牙齿过度外倾导致的露龈笑。固定矫治器需持续佩戴1-3年,隐形矫治需每日佩戴20小时以上。治疗期间需定期复查,避免进食过硬食物。
在上唇提肌注射肉毒杆菌可暂时减弱肌肉收缩力,减少牙龈暴露程度。效果维持4-6个月,需重复注射。可能出现暂时性表情僵硬,孕妇及神经肌肉疾病患者禁用。
通过激光或手术切除部分牙龈组织,延长牙冠视觉长度。适用于牙龈增生或牙冠过短者。术后可能出现牙齿敏感,需使用脱敏牙膏2-4周。保持口腔清洁可降低感染概率。

每日进行唇部肌肉锻炼有助于增强上唇控制力。可用手指轻压上唇同时微笑,每次保持10秒,重复10次。配合吹气球等动作,持续3个月可见改善。
通过镜子练习控制微笑幅度,避免过度牵拉上唇。微笑时尝试用舌尖轻抵上颚前部,可自然限制牙龈暴露。需长期坚持形成肌肉记忆。

建议避免频繁做大幅表情动作,刷牙时用软毛牙刷轻柔清洁牙龈边缘。均衡摄入维生素C和钙质有助于牙龈健康,如柑橘类水果、牛奶等。若伴随牙齿松动或牙龈出血,需及时就诊口腔科排查牙周疾病。选择干预方式前应咨询专业医师,根据个体情况制定方案。