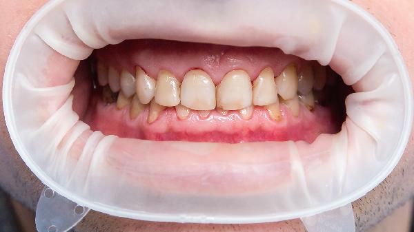
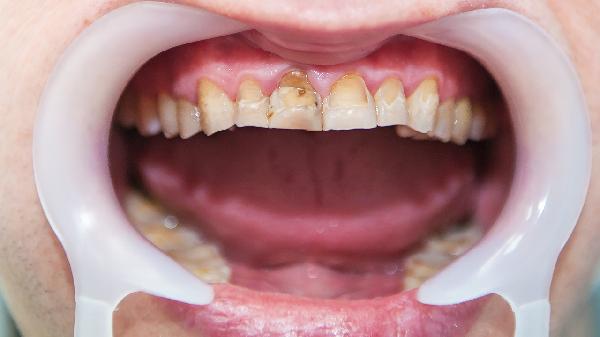
牙龈化脓不建议自行戳破。牙龈化脓通常由牙龈炎、牙周炎等口腔疾病引起,可能伴随红肿、疼痛等症状,需及时就医处理。

牙龈化脓是口腔感染的表现,局部组织存在炎症反应和细菌聚集。自行戳破可能导致感染扩散,细菌通过破损黏膜进入血液循环,引发更严重的全身感染。操作不当还可能损伤周围健康组织,加重疼痛和肿胀。正确的处理方式是用温盐水漱口缓解不适,避免挤压或刺激化脓部位。

少数情况下,若脓包已自然破溃,可用无菌棉签轻轻擦拭分泌物,但仍需就医。糖尿病患者、免疫力低下者等特殊人群更需谨慎,自行处理风险较高。口腔医生会通过专业器械引流脓液,配合局部消毒和抗生素治疗,必要时进行牙周刮治或根管治疗等针对性处理。

出现牙龈化脓应保持口腔清洁,使用软毛牙刷减少刺激,避免进食辛辣过硬食物。定期口腔检查有助于早期发现牙周问题,预防化脓性感染发生。若伴随发热、淋巴结肿大等全身症状,须立即就诊。