牙龈痒可能由牙龈炎、牙周炎、过敏反应、维生素缺乏、口腔干燥等原因引起,可通过口腔清洁、抗过敏治疗、补充营养等方式缓解。

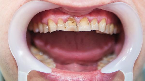
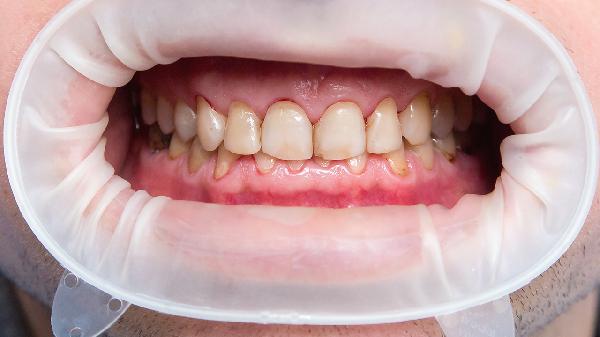
牙龈炎是牙龈组织发炎的常见疾病,通常由牙菌斑堆积刺激牙龈导致。患者可能伴随牙龈红肿、轻微出血等症状。治疗需加强口腔卫生,使用复方氯己定含漱液抑制细菌,配合布洛芬缓释胶囊缓解炎症疼痛。日常建议使用软毛牙刷和牙线清洁牙齿缝隙。
牙周炎是牙龈炎的进展阶段,牙周袋形成可能导致牙龈发痒伴牙齿松动。发病与长期清洁不足、吸烟等因素有关。需进行龈下刮治等专业治疗,可遵医嘱使用甲硝唑口颊片控制感染,辅助盐酸米诺环素胶囊改善症状。定期口腔检查有助于早期发现病变。
接触某些牙膏成分、食物或口腔护理产品可能引发过敏,表现为牙龈瘙痒伴黏膜水肿。常见致敏物质包括肉桂醛、薄荷醇等。治疗需停用致敏产品,使用氯雷他定片抗过敏,严重时可短期外用丁酸氢化可的松乳膏。建议选择无添加剂的口腔护理品。

长期缺乏维生素C或B族维生素可能导致牙龈组织修复能力下降,出现刺痒感。患者可能同时存在口腔溃疡、口角炎等症状。可通过增加新鲜蔬菜水果摄入补充营养,必要时服用维生素C咀嚼片或复合维生素B片剂。避免过度烹煮破坏食物中的维生素。
唾液分泌减少会使牙龈失去润滑保护,产生干燥瘙痒感。常见于服用抗组胺药等药物副作用,或糖尿病等系统性疾病。可使用人工唾液喷雾缓解,嚼无糖口香糖刺激唾液分泌。夜间使用加湿器保持环境湿度,避免摄入酒精、咖啡等加重干燥的饮品。

保持每日两次巴氏刷牙法清洁,饭后使用冲牙器清除食物残渣。选择含氟牙膏强化牙釉质,每半年进行专业洁牙。出现持续牙龈痒超过一周、伴随出血或脓液时需及时就诊,孕期或糖尿病患者出现症状应优先就医。避免自行使用尖锐物品搔抓牙龈造成继发感染。