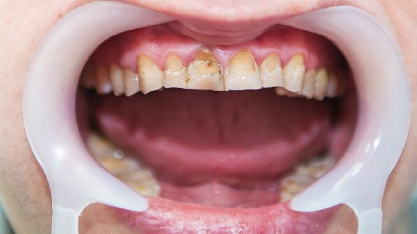
牙龈发红可能由牙菌斑堆积、牙龈炎、维生素缺乏、妊娠期激素变化、血液系统疾病等原因引起。牙龈发红通常表现为牙龈边缘充血肿胀,可能伴随刷牙出血或口臭等症状。

口腔清洁不足导致牙菌斑在牙龈缘堆积,细菌代谢产物刺激牙龈组织产生炎症反应。典型表现为牙龈边缘呈鲜红色弧形充血带,触碰易出血。可通过巴氏刷牙法配合牙线清洁,使用氯己定含漱液辅助控制菌斑。若发展为牙周炎需进行龈下刮治。
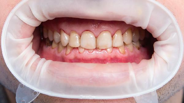
慢性牙龈炎患者牙龈乳头肿胀呈暗红色,质地松软。与牙结石刺激、口腔正畸装置摩擦等因素有关。需定期进行超声波洁治,急性期可用复方氯己定地塞米松膜贴敷。长期未治疗可能进展为牙周袋形成。
维生素C缺乏会导致毛细血管脆性增加,牙龈呈紫红色肿胀伴自发性出血。维生素B族缺乏可能引起口角炎合并牙龈充血。建议增加新鲜蔬菜水果摄入,严重者可短期服用维生素C片、复合维生素B片。

妊娠期雌激素水平升高使牙龈血管通透性增加,常见第二妊娠期出现牙龈瘤样增生。表现为牙龈鲜红色结节状突起,易出血。需加强口腔卫生护理,分娩后多可自行消退,严重者需手术切除。
白血病患者因血小板减少可出现牙龈弥漫性暗红色肿胀,伴自发性渗血。血友病可能表现为创伤后牙龈持续出血。需完善血常规检查,确诊后需针对原发病治疗,口腔科处理需在血液科指导下进行。

保持每日两次巴氏法刷牙并使用牙线清洁牙间隙,每半年进行一次专业洁治。出现牙龈持续红肿、溢脓或牙齿松动时需及时就诊。吸烟者建议戒烟,糖尿病患者需严格控制血糖。妊娠期应增加口腔检查频率,使用软毛牙刷减轻机械刺激。