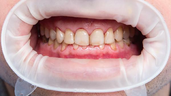
一吸牙龈就有血可能由牙龈炎、牙周病或维生素缺乏引起,建议及时就医检查并采取针对性治疗措施。保持口腔卫生、调整饮食结构和定期口腔检查可以有效预防和改善牙龈出血问题。

牙龈出血的常见原因之一是牙龈炎。牙龈炎通常由牙菌斑堆积引起,牙菌斑中的细菌会刺激牙龈,导致发炎和出血。长期不注意口腔卫生,刷牙不彻底或不使用牙线,容易导致牙菌斑积累。牙龈炎的治疗包括彻底清洁牙齿、使用抗菌漱口水和定期进行口腔检查。
牙周病是牙龈出血的另一个常见原因。牙周病是牙龈炎的进一步发展,会导致牙龈组织破坏和骨质流失。牙周病的症状包括牙龈红肿、出血、牙齿松动等。治疗牙周病需要深度洁牙、龈下刮治和局部药物治疗,严重时可能需要手术治疗。日常护理中,使用软毛牙刷、牙线和牙间刷可以有效预防牙周病。

维生素缺乏也可能导致牙龈出血,特别是维生素C和维生素K的缺乏。维生素C是胶原蛋白合成的重要成分,缺乏会导致牙龈组织脆弱易出血。维生素K则参与凝血过程,缺乏会影响凝血功能。调整饮食结构,多摄入富含维生素C的水果和蔬菜,适量补充维生素K,可以有效改善牙龈出血问题。
保持口腔卫生是预防牙龈出血的关键。每天至少刷牙两次,使用牙线清洁牙缝,定期更换牙刷,可以有效减少牙菌斑的堆积。定期进行口腔检查,及时发现和处理口腔问题,也是预防牙龈出血的重要措施。

牙龈出血虽然不是严重的疾病,但可能是某些口腔疾病的早期信号。及时发现和治疗牙龈出血,可以有效预防更严重的口腔问题。建议在日常生活中注意口腔卫生,调整饮食结构,定期进行口腔检查,保持口腔健康。如果牙龈出血持续或加重,应及时就医,寻求专业治疗。