早上刷牙时牙龈出血,这个问题可能让很多人感到困扰。牙龈出血的原因有很多,常见的包括刷牙用力过大、牙龈炎、牙周炎以及凝血功能异常等。为了更好地解决这个问题,建议及时就医,明确诊断后进行针对性治疗。

1、刷牙用力过大:有时候,我们在刷牙时可能会用力过大,导致牙龈受到过度刺激,从而出现出血现象。要改善这种情况,可以尝试使用软毛牙刷,并在刷牙时轻柔一些,这样能有效减少牙龈出血的发生。
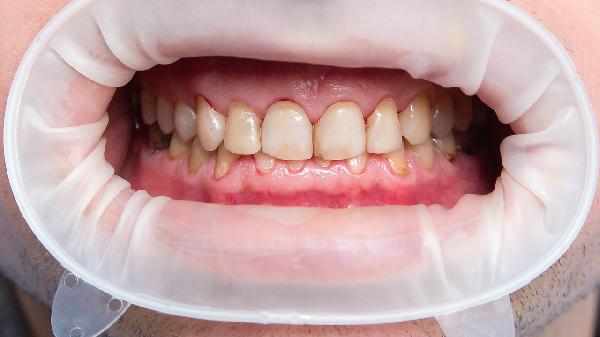
2、牙龈炎:如果口腔卫生不佳,牙菌斑和牙结石容易堆积,进而刺激牙龈组织,引发炎症。这种情况下,刷牙时牙龈容易出血,并可能伴随红肿和疼痛。要预防和改善牙龈炎,关键在于保持良好的口腔卫生习惯,比如饭后漱口和定期刷牙。如果症状严重,可以通过超声波洗牙来清除牙结石。
3、牙周炎:牙周炎是由于食物残渣长时间残留在牙齿表面,导致牙周组织发炎。炎症会加重牙龈的出血倾向,尤其是在刷牙时。为了预防牙周炎,建议在每次饭后及时漱口,防止食物残渣滞留。在医生指导下,服用适当的药物如甲硝唑片或阿莫西林胶囊,也能帮助缓解症状。
4、凝血功能异常:如果身体的凝血功能出现问题,可能会导致牙龈出血以及其他出血倾向,通常还会伴有身体乏力和头晕等症状。对于这种情况,建议多休息,避免剧烈运动,并在医生的指导下服用维生素K1等药物进行治疗。

早上刷牙时牙龈出血可能是多种因素引起的。保持良好的口腔卫生习惯和及时就医是解决问题的关键。如果问题持续存在或加重,务必寻求专业的医疗帮助,以确保口腔健康。通过调整生活习惯和遵循医嘱,牙龈出血的问题通常可以得到有效缓解。