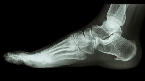
第四脚趾骨折不固定能否自愈需根据骨折类型决定,轻微裂缝性骨折可能自愈,但移位性骨折通常需要固定治疗。第四脚趾骨折多由外伤、挤压或长期劳损引起,建议及时就医评估。

裂缝性骨折表现为局部肿胀、轻微疼痛,但脚趾形态和功能基本正常。此类骨折可通过限制活动、穿戴硬底鞋保护,促进骨骼自然愈合。恢复期间避免负重行走,适当抬高患肢有助于消肿。若疼痛明显,可遵医嘱使用布洛芬缓释胶囊、对乙酰氨基酚片等药物缓解症状。

移位性骨折会出现明显畸形、异常活动或持续性剧痛。此时不固定可能导致骨骼错位愈合,影响行走功能。需通过手法复位后采用夹板、石膏或手术钢钉固定。严重者可能需使用接骨七厘片、伤科接骨片等促进骨痂形成,配合康复训练恢复关节活动度。

骨折后应保持足部清洁干燥,避免感染风险。饮食需增加牛奶、鱼肉等富含钙质和优质蛋白的食物,戒烟戒酒以防影响愈合。定期复查X光片监测愈合进度,若出现皮肤发紫、剧烈疼痛或发热需立即就医。未经专业评估自行处理可能延误治疗,导致慢性疼痛或关节炎等后遗症。