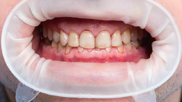
健康牙龈通常呈粉红色,质地坚韧且紧贴牙面,无出血或肿胀。牙龈健康状态可通过颜色、质地、形态及功能等维度评估,主要特征有边缘光滑无红肿、探诊无出血、龈乳头充盈牙间隙、角化龈宽度适中、无异常疼痛或敏感。

健康牙龈呈现淡粉或珊瑚粉色,与口腔黏膜形成自然过渡。吸烟、遗传因素或炎症会导致颜色加深或苍白,但正常状态下应无鲜红、紫绀等异常色泽。牙龈颜色变化常与局部血液循环、上皮角化程度相关,长期使用某些药物如抗癫痫药可能引起纤维性增生伴色泽改变。
健康牙龈表面呈橘皮样点彩,触诊时具有皮革般韧性且不易移动。病理状态下可能出现水肿性松软或纤维性硬化,正常牙龈在刷牙、咀嚼等机械刺激下不发生破损。胶原纤维排列致密是维持其结构完整的关键,维生素C缺乏可导致结缔组织疏松。
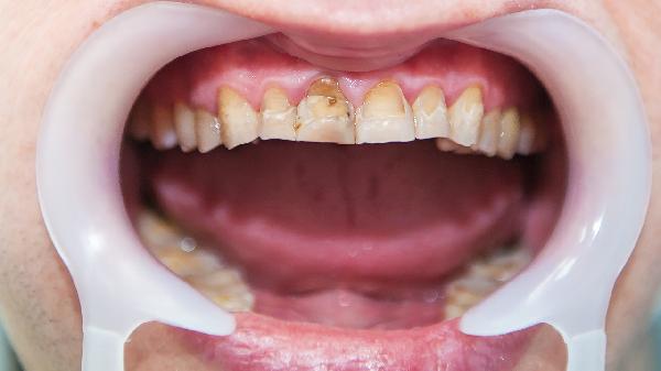
龈缘呈扇贝状紧密包绕牙颈部,与牙齿间形成0.5-2毫米的浅沟称为龈沟。异常表现包括龈缘退缩形成V形缺损或增生覆盖牙面,健康状态下龈乳头应充满邻牙间隙,避免食物嵌塞。正畸治疗或不当刷牙可能破坏龈缘生理形态。

健康牙龈在正常刷牙、使用牙线时不应出血,探诊深度不超过3毫米且无探诊出血。菌斑堆积引发的牙龈炎是最常见出血原因,血液病或抗凝治疗也可能导致异常出血。定期洁治可维持龈沟内菌群平衡,预防血管通透性增加。
健康牙龈能有效隔绝机械、温度刺激,无冷热敏感或咀嚼疼痛。牙周韧带与牙槽骨的完整支持确保牙齿稳固,病理性松动常伴随牙龈萎缩。功能性刺激如按摩可促进局部微循环,但过度力会导致角化龈损伤。

维护牙龈健康需每日使用巴氏刷牙法清洁牙齿与龈缘,配合牙线或冲牙器清除邻面菌斑。建议每6-12个月进行专业洁治,吸烟者应加强牙周检查。饮食注意补充维生素C与钙质,避免长期食用过硬或过烫食物。出现持续性牙龈出血、化脓或牙齿移位时,需及时就诊排除牙周炎或系统性疾病。