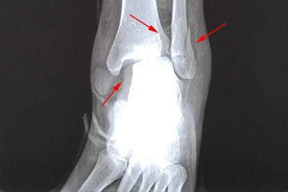
骨裂后可通过制动固定、营养补充、物理治疗、药物治疗、康复训练等方式促进恢复。骨裂通常由外伤、骨质疏松、慢性劳损、病理性骨折、骨骼发育异常等原因引起。

骨裂后需立即通过石膏、支具或外固定架限制患肢活动,避免骨折端移位。上肢骨裂常用前臂石膏,下肢骨裂需配合拐杖减少负重。固定时间通常为4-8周,期间需定期复查X线观察愈合情况。若固定不当可能导致畸形愈合或延迟愈合。
每日需保证充足钙质和维生素D摄入,如饮用300-500毫升牛奶,食用豆腐、西蓝花等富含钙的食物。蛋白质摄入量应达到每公斤体重1.2-1.5克,可选择鱼肉、鸡蛋等优质蛋白。同时补充维生素C有助于胶原合成,但需注意避免过量补钙导致便秘。
拆除固定装置后可在医生指导下进行超声波、低频脉冲等理疗,促进局部血液循环。伤后2周开始未固定关节的被动活动,4周后逐步增加主动关节活动度训练。热敷温度应控制在40-45摄氏度,每次15-20分钟,每日2-3次。

疼痛明显时可遵医嘱使用洛索洛芬钠片、塞来昔布胶囊等非甾体抗炎药。骨质疏松患者需配合阿仑膦酸钠片、骨化三醇软胶囊等抗骨质疏松药物。中药方面可选用伤科接骨片、云南白药胶囊等活血化瘀类药物,但需注意药物相互作用。
骨痂形成后逐步进行肌肉等长收缩训练,6-8周后开始渐进性抗阻训练。下肢骨裂患者需先进行床上踝泵运动,后过渡到扶墙站立、平衡训练。康复过程中出现肿胀或疼痛加重应立即停止训练,所有训练计划需在康复治疗师指导下制定。

骨裂恢复期间应保持每日7-8小时睡眠,戒烟限酒以避免影响骨骼愈合。饮食上注意荤素搭配,每周可食用2-3次深海鱼类补充omega-3脂肪酸。康复训练要遵循循序渐进原则,初期避免跑跳等冲击性运动。定期复查时若发现愈合延迟,需及时调整治疗方案。保持积极心态对康复同样重要,可通过听音乐等方式缓解焦虑情绪。