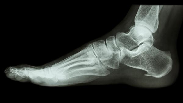
脚后跟骨折后可能出现足跟疼痛、创伤性关节炎、足弓塌陷、跟腱挛缩、慢性肿胀等后遗症。跟骨骨折属于严重损伤,多由高处坠落或交通事故导致,需通过影像学检查评估骨折类型后制定个性化康复方案。

骨折愈合后可能遗留持续性足跟疼痛,与跟骨关节面不平整或骨痂增生刺激周围软组织有关。疼痛常在负重行走时加重,可能伴随局部压痛。可通过穿戴矫形鞋垫减轻压力,严重时需考虑跟骨成形术修复关节面。
跟距关节面损伤后易发生退行性变,表现为关节僵硬和活动时摩擦感。早期可通过关节腔注射玻璃酸钠缓解症状,晚期关节严重破坏时需行关节融合术。康复期间应避免跳跃等冲击性运动。
跟骨高度丢失会导致足弓支撑力下降,引发扁平足畸形。患者可能出现步行易疲劳、足底筋膜炎等症状。定制足弓支撑器配合小腿三头肌力量训练可改善症状,严重畸形需行截骨矫形手术。

长期制动可能造成跟腱短缩,导致踝关节背屈受限。表现为下蹲困难或跛行,可通过跟腱牵拉训练配合矫形支具逐步改善。挛缩超过15度时需考虑跟腱延长术恢复关节活动度。
静脉回流障碍和淋巴循环受损可能导致足踝部持续性肿胀,皮肤可出现色素沉着。建议穿戴医用压力袜,睡眠时抬高患肢,配合空气波压力治疗仪促进液体回流。需排除深静脉血栓等并发症。

骨折愈合后应定期复查跟骨CT评估复位情况,康复期坚持踝泵运动和本体感觉训练。控制体重减轻足部负荷,选择硬底鞋提供足够支撑。出现进行性加重的疼痛或畸形应及时就诊,避免后遗症进一步加重影响行走功能。饮食注意补充钙质和维生素D促进骨愈合,每日进行30分钟水中步行训练可减少关节负担。