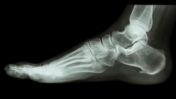
脚趾骨折45天后能否走路需根据愈合情况判断,若复查显示骨痂形成良好且无疼痛肿胀,通常可以逐渐恢复行走。若存在愈合延迟或固定不稳,过早负重可能导致二次骨折。

骨折后45天是否达到临床愈合标准与损伤程度、年龄、营养状况等因素相关。单纯线性骨折且接受规范固定者,此时骨痂已初步形成,在医生指导下可尝试部分负重行走,初期建议使用拐杖分担压力,选择硬底鞋提供支撑,避免跑跳或长时间站立。康复期间应定期复查X线,观察骨痂生长是否连续、对位是否良好。

开放性骨折、粉碎性骨折或伴有血管神经损伤者,愈合周期往往延长至8-12周。若过早拆除外固定或过度负重,可能造成骨折线移位甚至内固定物断裂。糖尿病患者、骨质疏松患者及吸烟人群更需谨慎,这类人群骨再生能力较弱,二次骨折风险显著增加。如行走时出现局部刺痛、肿胀加剧或异常活动感,应立即停止负重并就医。

恢复期间需保证每日摄入800毫克钙质和400国际单位维生素D,可通过牛奶、豆腐、深海鱼等食物补充。睡眠时抬高患肢有助于减轻水肿,康复后期可进行脚趾抓毛巾训练增强足部肌力。所有康复计划均需在骨科医生指导下根据影像学结果动态调整。