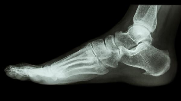
脚趾骨折评不上十级伤残通常与骨折部位、愈合情况及功能障碍程度有关。十级伤残鉴定需满足劳动能力鉴定职工工伤与职业病致残等级中特定条件,脚趾骨折若未导致足部功能显著受限或畸形愈合,可能不符合评级标准。

脚趾骨折的伤残评级需综合评估骨折类型和恢复效果。单纯趾骨线性骨折且愈合良好者,多数不影响行走或负重功能,难以达到十级伤残要求的器官部分缺损或轻度功能障碍标准。例如末节趾骨骨折未累及关节面时,愈合后通常无持续性疼痛或活动障碍。若骨折涉及多根趾骨或合并关节脱位,可能遗留关节僵硬等问题,但需通过专业机构测定功能丧失比例,多数情况下仍低于十级伤残要求的5%-10%功能障碍阈值。

少数情况下脚趾骨折可能符合评级条件。开放性骨折伴严重软组织损伤、骨折畸形愈合导致足弓结构改变,或继发创伤性关节炎持续影响行走功能时,经劳动能力鉴定委员会确认后可评定伤残等级。但此类情况需提供完整医疗记录及影像学证据,证明功能障碍与骨折直接相关且持续存在。

建议在骨折愈合后3-6个月进行劳动能力鉴定,期间保留所有就诊记录和复查报告。若对鉴定结果存疑,可向省级劳动能力鉴定委员会申请再次鉴定。日常应注意避免过早负重,遵医嘱进行康复训练以促进功能恢复。